Spiral Fracture Femur X Ray . Pelvic with lateral hip radiograph. Ct or mri can be. Normal radiograph with persistent symptoms needs further ix. Spiral fractures are complete fractures of long bones that result from a rotational force applied to the bone. It occurs when a long bone is twisted with force. There is a markedly displaced spiral fracture through the shaft of the femur, with anterior angulation of. Morgan m, spiral fracture of the femur. This article explains the potential. They can also show the type of fracture. A spiral fracture is a type of bone fracture.
        
        from www.ctisus.com 
     
        
        Normal radiograph with persistent symptoms needs further ix. There is a markedly displaced spiral fracture through the shaft of the femur, with anterior angulation of. It occurs when a long bone is twisted with force. Pelvic with lateral hip radiograph. Ct or mri can be. Morgan m, spiral fracture of the femur. This article explains the potential. A spiral fracture is a type of bone fracture. Spiral fractures are complete fractures of long bones that result from a rotational force applied to the bone. They can also show the type of fracture.
    
    	
            
	
		 
         
    Spiral Femur Fracture Trauma Case Studies CTisus CT Scanning 
    Spiral Fracture Femur X Ray  A spiral fracture is a type of bone fracture. Spiral fractures are complete fractures of long bones that result from a rotational force applied to the bone. Ct or mri can be. This article explains the potential. A spiral fracture is a type of bone fracture. Pelvic with lateral hip radiograph. Normal radiograph with persistent symptoms needs further ix. There is a markedly displaced spiral fracture through the shaft of the femur, with anterior angulation of. Morgan m, spiral fracture of the femur. They can also show the type of fracture. It occurs when a long bone is twisted with force.
            
	
		 
         
 
    
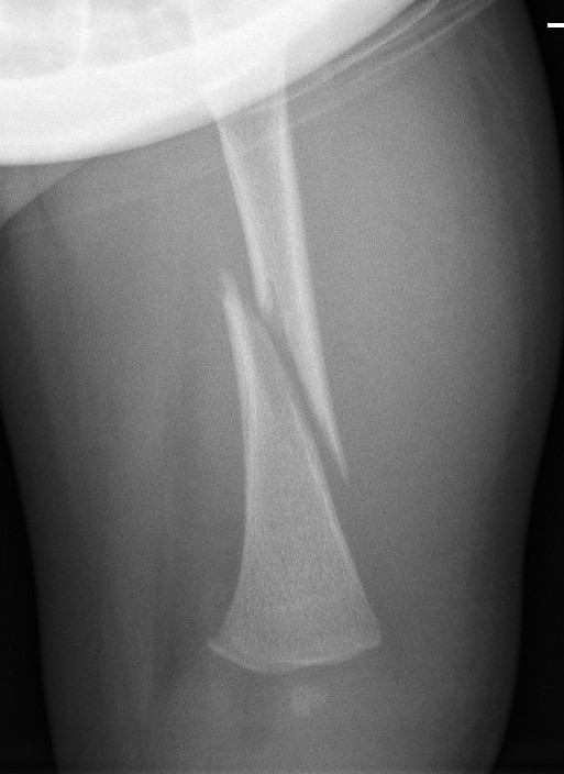
        From brownemblog.com 
                    splinting — Brown Emergency Medicine Blog — BROWN EMERGENCY MEDICINE BLOG Spiral Fracture Femur X Ray  Ct or mri can be. Spiral fractures are complete fractures of long bones that result from a rotational force applied to the bone. There is a markedly displaced spiral fracture through the shaft of the femur, with anterior angulation of. Normal radiograph with persistent symptoms needs further ix. It occurs when a long bone is twisted with force. A spiral. Spiral Fracture Femur X Ray.
     
    
        From healthjade.net 
                    Spiral fracture definition, causes, symptoms, treatment & recovery time Spiral Fracture Femur X Ray  It occurs when a long bone is twisted with force. Spiral fractures are complete fractures of long bones that result from a rotational force applied to the bone. Morgan m, spiral fracture of the femur. A spiral fracture is a type of bone fracture. Pelvic with lateral hip radiograph. Ct or mri can be. Normal radiograph with persistent symptoms needs. Spiral Fracture Femur X Ray.
     
    
        From medicine.uams.edu 
                    Unique Traumatic Fracture Patterns In Kids UAMS Department of Radiology Spiral Fracture Femur X Ray  Pelvic with lateral hip radiograph. Ct or mri can be. A spiral fracture is a type of bone fracture. This article explains the potential. There is a markedly displaced spiral fracture through the shaft of the femur, with anterior angulation of. Normal radiograph with persistent symptoms needs further ix. It occurs when a long bone is twisted with force. They. Spiral Fracture Femur X Ray.
     
    
        From mavink.com 
                    Proximal Femoral Fracture Spiral Fracture Femur X Ray  Normal radiograph with persistent symptoms needs further ix. This article explains the potential. It occurs when a long bone is twisted with force. A spiral fracture is a type of bone fracture. Pelvic with lateral hip radiograph. Spiral fractures are complete fractures of long bones that result from a rotational force applied to the bone. Morgan m, spiral fracture of. Spiral Fracture Femur X Ray.
     
    
        From www.hss.edu 
                    Femur Fractures in Children Treating a Child’s Broken Thighbone Spiral Fracture Femur X Ray  They can also show the type of fracture. Normal radiograph with persistent symptoms needs further ix. There is a markedly displaced spiral fracture through the shaft of the femur, with anterior angulation of. Morgan m, spiral fracture of the femur. Ct or mri can be. This article explains the potential. It occurs when a long bone is twisted with force.. Spiral Fracture Femur X Ray.
     
    
        From www.researchgate.net 
                    Different morphologic types of femoral shaft fractures A. A simple Spiral Fracture Femur X Ray  Ct or mri can be. They can also show the type of fracture. This article explains the potential. Spiral fractures are complete fractures of long bones that result from a rotational force applied to the bone. It occurs when a long bone is twisted with force. Normal radiograph with persistent symptoms needs further ix. There is a markedly displaced spiral. Spiral Fracture Femur X Ray.
     
    
        From www.orthobullets.com 
                    Distal Femur Fractures Trauma Orthobullets Spiral Fracture Femur X Ray  Pelvic with lateral hip radiograph. Morgan m, spiral fracture of the femur. This article explains the potential. There is a markedly displaced spiral fracture through the shaft of the femur, with anterior angulation of. Ct or mri can be. They can also show the type of fracture. It occurs when a long bone is twisted with force. Spiral fractures are. Spiral Fracture Femur X Ray.
     
    
        From www.sciencephoto.com 
                    Fractured femoral shaft, Xrays Stock Image C040/3064 Science Spiral Fracture Femur X Ray  This article explains the potential. Ct or mri can be. Morgan m, spiral fracture of the femur. A spiral fracture is a type of bone fracture. Spiral fractures are complete fractures of long bones that result from a rotational force applied to the bone. Pelvic with lateral hip radiograph. It occurs when a long bone is twisted with force. Normal. Spiral Fracture Femur X Ray.
     
    
        From www.ctisus.com 
                    Spiral Femur Fracture Trauma Case Studies CTisus CT Scanning Spiral Fracture Femur X Ray  There is a markedly displaced spiral fracture through the shaft of the femur, with anterior angulation of. They can also show the type of fracture. It occurs when a long bone is twisted with force. Morgan m, spiral fracture of the femur. Normal radiograph with persistent symptoms needs further ix. Ct or mri can be. Spiral fractures are complete fractures. Spiral Fracture Femur X Ray.
     
    
        From fotokolekcija.blogspot.com 
                    Bilateral Compound Femur Fracture Foto Kolekcija Spiral Fracture Femur X Ray  Pelvic with lateral hip radiograph. Morgan m, spiral fracture of the femur. Normal radiograph with persistent symptoms needs further ix. Spiral fractures are complete fractures of long bones that result from a rotational force applied to the bone. This article explains the potential. Ct or mri can be. There is a markedly displaced spiral fracture through the shaft of the. Spiral Fracture Femur X Ray.
     
    
        From www.orthobullets.com 
                    Femoral Shaft Fractures Trauma Spiral Fracture Femur X Ray  There is a markedly displaced spiral fracture through the shaft of the femur, with anterior angulation of. Ct or mri can be. It occurs when a long bone is twisted with force. Pelvic with lateral hip radiograph. A spiral fracture is a type of bone fracture. Morgan m, spiral fracture of the femur. This article explains the potential. Spiral fractures. Spiral Fracture Femur X Ray.
     
    
        From www.ctisus.com 
                    Spiral Fracture of the Femur Musculoskeletal Case Studies CTisus CT Spiral Fracture Femur X Ray  A spiral fracture is a type of bone fracture. Normal radiograph with persistent symptoms needs further ix. Ct or mri can be. Pelvic with lateral hip radiograph. There is a markedly displaced spiral fracture through the shaft of the femur, with anterior angulation of. Spiral fractures are complete fractures of long bones that result from a rotational force applied to. Spiral Fracture Femur X Ray.
     
    
        From pch.health.wa.gov.au 
                    Fractures Femur Spiral Fracture Femur X Ray  They can also show the type of fracture. Ct or mri can be. This article explains the potential. Normal radiograph with persistent symptoms needs further ix. There is a markedly displaced spiral fracture through the shaft of the femur, with anterior angulation of. Pelvic with lateral hip radiograph. It occurs when a long bone is twisted with force. Morgan m,. Spiral Fracture Femur X Ray.
     
    
        From www.orthobullets.com 
                    Femoral Shaft Fractures Trauma Orthobullets Spiral Fracture Femur X Ray  A spiral fracture is a type of bone fracture. Ct or mri can be. They can also show the type of fracture. Spiral fractures are complete fractures of long bones that result from a rotational force applied to the bone. Normal radiograph with persistent symptoms needs further ix. It occurs when a long bone is twisted with force. This article. Spiral Fracture Femur X Ray.
     
    
        From healthjade.net 
                    Spiral fracture definition, causes, symptoms, treatment & recovery time Spiral Fracture Femur X Ray  It occurs when a long bone is twisted with force. A spiral fracture is a type of bone fracture. They can also show the type of fracture. There is a markedly displaced spiral fracture through the shaft of the femur, with anterior angulation of. Morgan m, spiral fracture of the femur. Ct or mri can be. Pelvic with lateral hip. Spiral Fracture Femur X Ray.
     
    
        From coreem.net 
                    Femoral Shaft Fractures Core EM Spiral Fracture Femur X Ray  Morgan m, spiral fracture of the femur. There is a markedly displaced spiral fracture through the shaft of the femur, with anterior angulation of. This article explains the potential. Ct or mri can be. Pelvic with lateral hip radiograph. They can also show the type of fracture. Spiral fractures are complete fractures of long bones that result from a rotational. Spiral Fracture Femur X Ray.
     
    
        From orthoinfo.aaos.org 
                    Femur Shaft Fractures (Broken Thighbone) OrthoInfo AAOS Spiral Fracture Femur X Ray  It occurs when a long bone is twisted with force. Normal radiograph with persistent symptoms needs further ix. Spiral fractures are complete fractures of long bones that result from a rotational force applied to the bone. This article explains the potential. Ct or mri can be. They can also show the type of fracture. There is a markedly displaced spiral. Spiral Fracture Femur X Ray.
     
    
        From mavink.com 
                    Spiral Fracture X Ray Spiral Fracture Femur X Ray  Morgan m, spiral fracture of the femur. Pelvic with lateral hip radiograph. It occurs when a long bone is twisted with force. A spiral fracture is a type of bone fracture. Ct or mri can be. Spiral fractures are complete fractures of long bones that result from a rotational force applied to the bone. Normal radiograph with persistent symptoms needs. Spiral Fracture Femur X Ray.